Agulha é esquecida dentro de paciente

Ele ficou com o objeto no ombro por cinco meses

Matheus Machado

Publicado em: 6 de março de 2025

2 min.

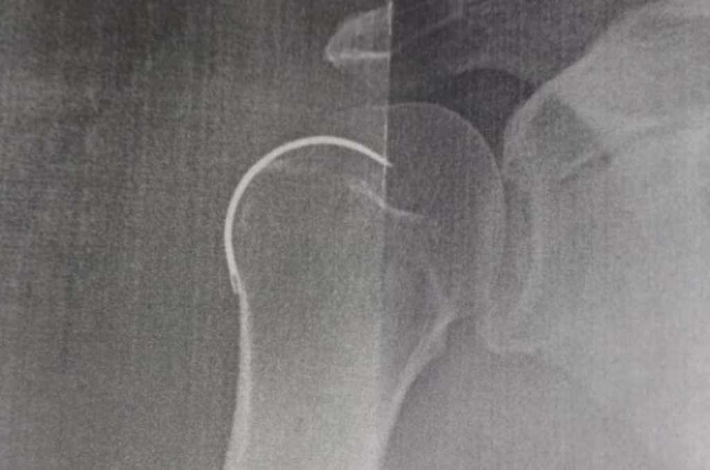
Um morador de Capivari de Baixo, de 62 anos, teve uma agulha esquecida dentro do corpo após uma cirurgia no seu ombro direito no Hospital Santo Antônio, em Armazém.

Ele passou por um procedimento no dia 6 de outubro do ano passado e somente na última semana é que o item foi retirado. Segundo ele, o médico teria esquecido a agulha de sutura dentro do ombro.

De acordo com o portal Sul Agora, ele enfrentou dores constantes por cinco meses, mas os médicos informavam que era comum do pós-operatório. No entanto, ao realizar um novo raio-X, os médicos descobriram a presença do objeto cirúrgico esquecido no paciente.

A retirada da agulha aconteceu na última semana, também no Hospital Santo Antônio.



× SCTODODIA Rádios